Zubní kámen pod dásní: Co je, jak ho odstranit a proč to není jen estetický problém

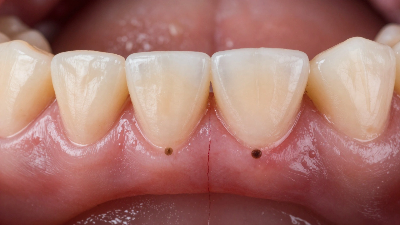
When working with zubní kámen pod dásní, tvrdá nálož bakterií a minerálů, která se tvoří pod dásněmi a nejde odstranit kartáčkem. Also known as subgingivální kámen, it je neviditelný, ale velmi škodlivý příčinou zánětů dásní a postupného rozpadu kosti kolem zubů. Nejde o to, že byste si nečistili zuby – spíš se vám pod dásně dostává plak, který se postupně vápencuje. Ten se začíná tvořit za pár dní, pokud nečistíte mezizubní prostory. A právě tam, pod dásní, se kámen zpevňuje až do tvrdého kamene, který už žádný kartáček, ani niti ani mezizubní kartáčky nezvládnou.

Zubní plak, ten měkký, lepkavý film na zubech, je předchůdcem všeho. Also known as biofilm, it je živá kolonie bakterií, které žijí na zubech a vyrábějí kyseliny, které ničí sklovinku a způsobují zánět dásní. Když ho neodstraníte pravidelně, přemění se v zubní kámen – a to nejen na viditelných plochách, ale hlavně tam, kde ho nikdo nevidí: pod dásní. A právě ten pod dásní je nebezpečnější než ten na povrchu. Nebojí se čištění, nebojí se bělicích past, nebojí se i sonických kartáčků. On je tam, kde je temno a kde se nevyskytuje žádný nástroj, který by ho mohl zasáhnout.

Černý zubní kámen pod dásní není jen o špatném vzhledu. Je to signál, že vaše dásně jsou v boji. Když začnou krvácet, když se zvětšují, když se zuby začínají hýbat – to už není jen estetika. To je předzvěst ztráty zubu. A nejde to zastavit doma. Žádný domácí prostředek, žádný černý uhlí, žádný kokosový olej – ty všechny pomáhají s plakem, ale s kamenem pod dásní ne. Jediné, co funguje, je profesionální čištění u zubního hygienistky. Pískování zubů, ultrazvuk, rukovět – to jsou nástroje, které dokážou dostat se pod dásně a odstranit to, co se tam hromadí měsíce, možná roky.

Proč to vůbec vzniká? Většinou kvůli špatné hygieně, ale taky kvůli kouření, cukru, nebo i genetice. Někdo má zuby, které jsou přirozeně více náchylné k tvorbě kamene. A to neznamená, že by musel mít špatnou hygienu. Jenže když máte zubní kámen pod dásní, nejde o to, jestli jste se čistili, nebo ne. Jde o to, že už je to tam a potřebujete to odstranit – jinak se zánět rozšíří, kost se rozpadne a zub vás opustí.

Nečekáte, až vás bolí. Nečekáte, až se zub vypohybuje. Nečekáte, až vás někdo upozorní na zápach z úst. Když víte, že máte zubní kámen pod dásní, už je čas jít k hygienistce. Ne každý den, ale pravidelně – každých šest měsíců. A když máte černý kámen, měli byste ho nechat odstranit hned. Nejen proto, že vypadá špatně. Ale protože je to vážný problém, který se nevyřeší sám.

V této sbírce najdete všechno, co potřebujete vědět o tom, jak se zubní kámen pod dásní tvoří, jak ho odstranit bez poškození zubů, proč domácí metody selhávají, a jak ho předcházet. Zjistíte, co skutečně funguje – a co je jen marketing. A především: jak si udržet zuby celý život, aniž byste museli čekat, až vás bolí.