Odhalení tajemství zubního kamene pod dásní: jak ho rozpoznat, odstranit a předcházet

Odhalení tajemství zubního kamene pod dásní: jak ho rozpoznat, odstranit a předcházet

Nástroj pro detekci zubního kamene pod dásní

Tento nástroj vám pomůže zjistit, zda máte příznaky zubního kamene pod dásní. Odpovězte na otázky a zjistíte, zda byste měli navštívit zubní hygienika nebo parodontologa.

Odpovězte na tyto otázky:

Odpovězte na otázky a stiskněte tlačítko "Zkontrolovat příznaky", abyste zjistili své riziko.

Zubní kámen pod dásní není jen nepříjemný zbytek na zubech. Je to tichý sabotér, který postupně ničí kost, dásně a může vést k ztrátě zubů - aniž byste to cítili. Mnoho lidí si myslí, že kámen je jen ten viditelný na předních zubech, ale skutečná hrozba se skrývá tam, kde ho nevidíte: pod dásní. Pokud vám dentista řekl, že máte „poddásňový kámen“, nejedná se o technický žargon. Je to vážný problém, který se nevyřeší častějším čištěním zubů. A ne, koupit si silnější zubní kartáček nebo ústní vodu neznamená, že problém zmizí.

Co je zubní kámen pod dásní a jak vzniká?

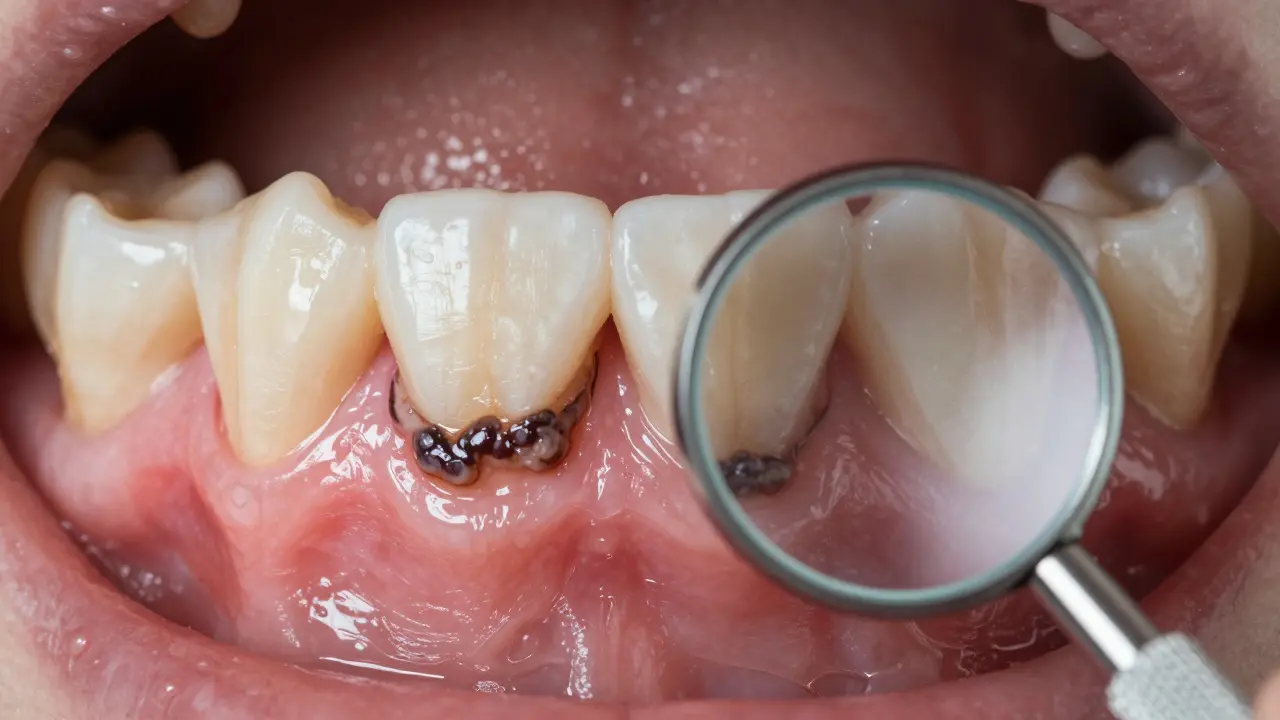
Zubní kámen vzniká, když se plak - ten lepkavý film z bakterií - postupně vápencuje. Plak se tvoří každý den, i když si čistíte zuby. Pokud ho neodstraníte během 24-72 hodin, začíná mineralizovat. Když se to stane pod dásní, říkáme mu poddásňový kámen nebo subgingivální kámen. Ten je mnohem agresivnější než kámen na viditelné části zubu. Leží v zubodásňové drážce - prostoru mezi zubem a dásní - a tam, kde ho nevidíte, tam se nejvíc škodí.

Bakterie v kameni produkují toxiny, které způsobují zánět dásní. Ten zánět se nazývá parodontitida. Když se nezastaví, ničí vazivové tkáně, které drží zub v kosti. Kost se začne rozpadat. A to je bod, kdy se zub začne hýbat. A pak spadne.

Proč je poddásňový kámen tak nebezpečný?

Nebezpečí poddásňového kamene není v jeho velikosti, ale v jeho tajnosti. Většina lidí si ho vůbec nevšimne. Nebojí se bolesti, protože většinou žádná není. Nevidíte ho, nečicháte ho, nevnímáte ho. Až jednoho dne si všimnete, že vaše dásně krvácejí při čištění, nebo že zub se pohybuje, když na něj šťouchnete jazykem.

Studie z Journal of Clinical Periodontology ukázaly, že 70 % dospělých ve věku nad 35 let má nějakou formu parodontitidy, a většina z nich to nevěděla. Poddásňový kámen je hlavní příčinou. Je to jako rzi na trubce - nevidíte ji, dokud se trubka nezlomí.

Nejhorší je, že kámen pod dásní neodstraníte ani silným kartáčkem, ani nití, ani ústní vodou. Jediný způsob, jak ho vyčistit, je profesionální čištění u zubního hygienika nebo parodontologa. A to nejde jen tak „za půl hodiny“. Pokud je kámen hluboko, může trvat 2-3 návštěvy, každá po 60-90 minutách.

Jak poznáte, že máte kámen pod dásní?

Není to tak jednoduché jako zčervenalé dásně. Některé příznaky jsou jasné, jiné se připisují jiným věcem. Tady je seznam skutečných indikátorů:

  • Dásně krvácejí při čištění nebo při jídle - i když nebojíte kartáček
  • Dásně se stáhly a zuby vypadají delší než dříve
  • Mezi zuby se objeví mezery, které dříve nebyly
  • Stále máte zápach z úst, i když se čistíte
  • Zuby se pohybují nebo cítíte, že jsou uvolněné
  • Při doteku cítíte „hrubý“ povrch na zubech u dásní

Někteří lidé si myslí, že krvácení dásní je normální. Není. To je vážný signál, že tělo bojuje s infekcí. Pokud krvácíte, když si čistíte zuby, už máte zánět. A zánět znamená, že kámen je tam, kde ho nemáte.

Příčný řez čelistí s kalcifikovaným plakem a erozí kosti

Co se stane, když to ignorujete?

Ignorování poddásňového kamene je jako ignorovat zápal plic. Nejde jen o ztrátu zubu. Když se kámen neodstraní, infekce se šíří do kosti. Kost se rozpadá. A jakmile kost zmizí, zub nemá, na čem by se mohl opírat. Výsledek? Ztráta zubu. A to nejen jednoho. Často se to rozšiřuje na celou část čelisti.

Pak přichází nákladnější řešení: implantáty, mosty, zubní protézy. Každý implantát stojí od 15 000 do 30 000 Kč. A to je jen za jeden zub. Pokud jich ztratíte tři, čtyři, pět - a to se stává častěji, než si lidé myslí - cena se sčítá. A to ještě nezahrnuje náklady na léčbu zánětu, který se může rozšířit do krve a ovlivnit srdce, plicí nebo dokonce mozek.

Podle výzkumu z European Journal of Oral Sciences lidé s nelečenou parodontitidou mají o 20-30 % vyšší riziko srdečního infarktu. Bakterie z ústní dutiny se dostávají do krevního oběhu a přispívají k tvorbě plaků v tepnách. To není teorie. Je to dokázaná skutečnost.

Jak se poddásňový kámen odstraní?

Neexistuje domácí metoda, která by ho odstranila. Ne čištění zubní nití, ne ústní voda, ne speciální pasty. Pouze odborník s přístroji může kámen vyčistit. Postup se nazývá skalování a vyhlazování kořenů (tzv. scaling and root planing).

První krok: skalování. Zubní hygienik používá ultrazvukový přístroj, který rozdrbí kámen na kousky. Potom ručními nástroji (skalpely) odstraní zbytky, které ultrazvuk nezvládne. Druhý krok: vyhlazování kořenů. Zubní kámen nejen leží na povrchu zubu - proniká do jeho povrchu a vytváří drsnosti. Tyto drsnosti jsou jak „přístavy“ pro bakterie. Hygienik je vyhladí, aby se plak nemohl znovu přichytit.

Tento postup není příjemný, ale není ani bolestivý. Většině lidí stačí lokální anestezie. Někteří si ho dělají bez ní. Výsledek? Dásně se začnou hojit. Krvácení přestane. Zápach zmizí. A zuby se znovu zatvrdí.

Po léčbě je důležité přijít na kontrolu za 3-6 měsíců. Pokud se kámen vrátí, je to známka, že vaše denní hygiena nefunguje. A to je problém, který můžete vyřešit sami.

Dentista odstraňuje zubní kámen pomocí ultrazvukového přístroje

Jak předcházet jeho vzniku?

Nejlepší léčba je prevence. A to neznamená „čistit si zuby dvakrát denně“. To je minimum. Tady je, co opravdu funguje:

  1. Čistěte si zuby dvakrát denně - alespoň dvě minuty, každýkrát. Používejte kartáček s měkkými štětinami. Tvrdé štětinky poškozují dásně.
  2. Používejte zubní nit každý den. Nit je jediný způsob, jak odstranit plak mezi zuby, kde kartáček nedosáhne. Více než 80 % poddásňového kamene vzniká právě tam.
  3. Nezapomínejte na jazyk. Bakterie se hromadí i na jazyce. Čistěte ho kartáčkem nebo jazykovým škrabkem.
  4. Nejedzte často sladké a lepkavé věci. Cukr je jídlo pro bakterie. Čím častěji jíte, tím déle bakterie vyrábějí kyselinu, která způsobuje plak.
  5. Chodíte na kontrolu každých 6 měsíců. I když nic nebojíte. Hygienik vidí věci, které vy nevidíte. A může odstranit plak, než se změní v kámen.

Někteří lidé si myslí, že když nemají bolest, nemají problém. To je největší omyl. Parodontitida je tichá. A nejhorší věc na tichém problému je, že se neobjeví, dokud není příliš pozdě.

Co dělat, když už máte ztracený zub?

Pokud jste ztratili zub kvůli kameni, neznamená to konec. Moderní stomatologie má řešení. Nejlepší volba je implantát. Je to kovový šroub, který se zasune do kosti a slouží jako nový kořen. Na něj se připevní korunka, která vypadá a funguje jako skutečný zub.

Alternativy jsou mosty nebo protézy. Ale mosty vyžadují, aby se poškodily sousední zuby. Protézy se mohou hýbat a nejsou tak stabilní. Implantát je jediná volba, která zastaví další ztrátu kosti.

Na implantát se můžete připravit. Zkontrolujte, jestli máte dostatek kosti. Pokud ne, může být potřeba regenerace kosti - menší operace, která obnoví ztracenou hmotu. To znamená více času a nákladů, ale je to lepší než žít s dírou v ústech.

Co dělat, když vás to straší?

Je normální se bát. Více než 60 % lidí se vyhýbá návštěvě zubního lékaře z právě tohoto důvodu. Ale když se vydáte na návštěvu, zjistíte, že většina lidí má poddásňový kámen. A většina ho může vyřešit. Nejde o trest. Jde o léčbu.

Nechte si udělat kompletní vyšetření. Ukažte hygienikovi, co vás znepokojuje. Nechte si ukázat, kde je kámen - dnes už většina klinik používá digitální rentgeny a kamery, které vám ukážou přesně, co se děje pod dásní.

Nejde o to, že jste „zlý“ pacient. Jde o to, že jste člověk, který se teď rozhodl změnit věc, která vás může připravit o zuby. A to je nejlepší rozhodnutí, které můžete udělat.

Je možné odstranit zubní kámen pod dásní doma?

Ne. Žádný domácí prostředek - ani speciální pasty, ústní vody, nebo nástroje z internetu - neodstraní kámen pod dásní. Ten je uložen hluboko v zubodásňové drážce a vyžaduje odborné přístroje, jako je ultrazvukový skalper. Pokus o samostatné odstranění může poškodit dásně a způsobit infekci.

Je kámen pod dásní bolestivý?

Většinou ne. Poddásňový kámen se většinou nebojí bolesti, protože neovlivňuje nervy. Bohužel právě to je jeho nejnebezpečnější vlastnost - nečíhá na vás s bolestí, ale postupně ničí kost. Když začnete cítit bolest, je už pozdě. Kost je často značně poškozená.

Jak často bych měl chodit na čištění, pokud mám kámen pod dásní?

Po léčbě poddásňového kamene doporučují odborníci návštěvy každé 3-4 měsíce. To je důležité, protože kámen se může rychle vrátit, pokud je vaše denní hygiena nedostatečná. Pravidelné kontroly zabraňují opakování a umožňují zachytit plak ještě předtím, než se změní v kámen.

Může zubní kámen pod dásní ovlivnit celkové zdraví?

Ano. Bakterie z infikovaných dásní se dostávají do krevního oběhu a mohou přispívat k zánětu v celém těle. Je prokázáno, že nelečená parodontitida zvyšuje riziko srdečních onemocnění, diabetu, předčasných porodů a dokonce demence. Je to nejen problém ústní dutiny - je to problém celého těla.

Je návštěva zubního hygienika drahá?

Skalování a vyhlazování kořenů stojí v Česku mezi 1 500 a 4 000 Kč za část čelisti, podle rozsahu problému. To je mnohem méně než náklady na implantát, který může stát 15 000-30 000 Kč za jeden zub. Prevence je vždy levnější než léčba. A pokud máte zdravotní pojištění, část nákladů je často hrazena.

Největší chyba, kterou lidé dělají, je čekat, až bude bolet. Kámen pod dásní nebojí. A když se konečně ozve, je už pozdě. Nečekejte na bolest. Čistěte si zuby, používejte nit, chodíte na kontrolu. A pokud vám někdo řekne, že máte poddásňový kámen - neodkládejte. To je váš signál, že je čas se o sebe postarat - opravdu.