Keramické fazety: Jaké jsou možnosti opravy po poškození

Keramické fazety: Jaké jsou možnosti opravy po poškození

Oprava keramické fazety - návod pro vás

Jaký problém s fazetou máte?

Vyberte typ problému, který vás trápí, nebo následujte naši výběrovou cestu pro přesné doporučení.

Keramické fazety jsou jedním z nejpopulárnějších způsobů, jak dosáhnout dokonalého úsměvu. Tytenké, přesně přizpůsobené dlaždice z kvalitní keramiky se přilepují na přední povrch zubů a skrývají nejen šedé skvrny, ale i drobné špíny, drobné štěrbiny, nepravidelnosti tvaru nebo mírné zkřivení. Ale co když se jedna z nich poškodí? Zlomí se? Odloupne se? Ztratí svůj lesk? Mnoho lidí si myslí, že poškozená fazeta znamená konec - a že je potřeba celou výměnu. To není pravda. Existují reálné, bezpečné a cenově přístupné možnosti opravy, které vám mohou zachránit čas, peníze i pohodlí.

Co se může s keramickou fazetou stát?

Keramické fazety jsou pevné, ale ne nezničitelné. Nejčastější problémy, které se objevují, jsou:

  • Malé skoly nebo zlomy na hraně - často způsobené žvýkáním tvrdých potravin, náhodným úderem nebo zubním štětcem s příliš tvrdou štětinou
  • Odlepení - když se lepidlo pod fazetou oslabí, může se začít pohybovat nebo úplně odpadnout
  • Ztráta lesku - keramika může být poškrábána nebo ztratit svůj přirozený lesk kvůli agresivním čisticím prostředkům nebo špatné hygieně
  • Barvové změny - pokud se fazeta přilepila na zub, který se později vybělil, může vypadat neharmonicky
  • Prostupující tmavá hrana - pokud byla fazeta nesprávně připravena nebo zub pod ní zanikl, může být vidět tmavá linie u dásně

Ne každý problém vyžaduje výměnu. Některé vady lze opravit hned při první návštěvě, jiné vyžadují více času, ale stále nejsou tak nákladné, jak se může zdát.

Oprava malých poškození: Skoly a škrábance

Malé skoly na hraně fazety nebo jemné škrábance na povrchu jsou časté. Mnoho lidí si v takovém případě hned představuje kompletní výměnu. Ale to není nutné. Zubař může pomocí speciálních diamantových fréz a mikroabrazivních past použít techniku nazývanou polirování a vyrovnávání povrchu.

Postup je jednoduchý:

  1. Zubař nejprve pečlivě vyčistí povrch fazety a okolních zubů
  2. Použije jemné frézy, aby odstranil nepravidelnosti a zlomy
  3. Poté aplikuje postupně jemnější abrazivní pasty - od hrubé po velmi jemnou
  4. Na konci povrch vytře a obnoví přirozený lesk

Tento postup trvá méně než 30 minut a nevyžaduje anestéziu. Výsledek je také přirozený - pokud se skola nebyla hluboká, je téměř nemožné poznat, že tam někdy něco chybělo. Výhoda? Stojí jen zlomek ceny nové fazety.

Odlepení fazety: Co dělat, když se odpadne?

Když se fazeta odpadne, je první reakce často panika. Ale nevadí. Nejdříve si ji uložte - ideálně v suché, čisté krabičce. Nečistěte ji, neotírejte ji, ani neplácejte do vody. Může být znovu použita.

Nejčastější příčina odpadnutí není špatná kvalita, ale:

  • Slabý lepidlový spoj - často kvůli špatné přípravě povrchu zubu
  • Přílišný tlak - například zubní brnění nebo špatný návyk škrábat zuby jazykem
  • Dezinfekce nebo používání agresivních ústních kapalinek

Zubař provede následující:

  1. Zkontroluje, zda je fazeta celistvá a nevykazuje skryté trhliny
  2. Pročistí povrch fazety i povrch zubu, aby byl připraven k novému přilepení
  3. Použije moderní lepidlo na bázi kompozitu, které má vysokou adhezi a odolnost
  4. Přilepí fazetu a okamžitě zkontroluje, zda sedí přesně a nezatíží příliš úderem

Proces trvá 45 minut a je úplně bezbolestný. Pokud se fazeta nepoškodila, může být znovu použita s 95% úspěšností. V některých případech zubař navíc přidá do lepidla speciální přísadu, která zvyšuje trvanlivost spoje.

Ceramic veneer being carefully reattached to a tooth with modern dental adhesive.

Ztráta lesku a barvové neharmonie

Ne všechny problémy s fazetami jsou fyzické. Někdy se jednoduše ztrácí lesk, nebo se fazeta začne lišit od přirozené barvy zubů kolem. To se často stává, když se pacient nechal vybělit zuby - ale nezaměřil se na fazety.

Keramické fazety se nemohou vybělit. To je důležité. Pokud se váš přirozený zub vybělí, ale fazeta zůstane ve stejné barvě, vypadá to neúměrně. Nebo se fazeta může zbarvit kvůli kávě, čaji nebo cigaretám - i když je keramika odolná, povrch může být poškrábán a ztratit svou odolnost.

Tady je řešení:

  • Pokud je jen ztracený lesk - může být obnoven stejným způsobem jako u škrábanců: polirováním
  • Pokud je barva neharmonická - můžete vybělit přirozené zuby, aby se přizpůsobily fazetě, nebo nechat fazetu vyměnit
  • Pokud je fazeta poškrábána a ztratila lesk - opět polirování, ale pokud je poškození hluboké, je lepší výměna

Je důležité si uvědomit: ne každá barvová změna vyžaduje výměnu. Často stačí jen korekce v okolí. Pokud máte více fazet, zubař může navrhnout postupnou harmonizaci - například vyměnit jen jednu fazetu, která se liší, a ne všechny najednou.

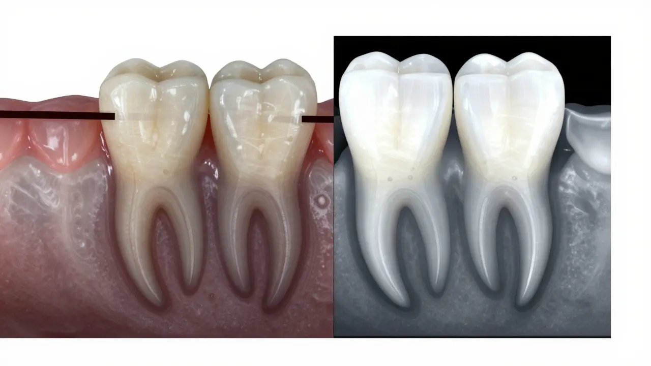
Prostupující tmavá hrana: Když se pod fazetou skrývá problém

Tmavá linie u dásně je nejhorší případ. Znamená, že pod fazetou došlo k:

  • Odumření zubu - zub pod fazetou zemřel a ztmavl
  • Špatné přípravě - zub byl příliš zkrácen a zůstal vidět zubní kmen
  • Infekci - když se pod fazetou vytvořila dutina a nebyla včas léčena

Tady už není místo pro opravu. Musíte:

  1. Nejprve zkontrolovat zub pod fazetou - obvykle pomocí RTG
  2. Pokud je zub mrtvý - je potřeba provedení endodontické léčby (kořenová kanálek)
  3. Poté vyměnit fazetu - nová bude vytvořena tak, aby skrývala tmavou barvu

Tento případ je nákladnější, protože vyžaduje dvě procedury. Ale je to jediný způsob, jak obnovit estetiku a zdraví zubu. Ignorování tohoto problému může vést k infekci, ztrátě zubu a ještě větším nákladům.

Dark line at gumline beneath veneer with X-ray showing underlying tooth damage.

Když oprava není možná: Výměna fazety

Někdy je oprava prostě nemožná. Pokud:

  • Je fazeta poškrábána do hloubky
  • Má vnitřní trhlinu, kterou nejde vidět
  • Je poškozena více než 30 % povrchu
  • Je ztracená nebo poškozená tak, že se nedá znovu použít

…pak je jediným řešením výměna. Ale to neznamená, že musíte vyměnit všechny najednou. Moderní techniky umožňují výměnu jedné fazety bez nutnosti připravovat celou řadu. Zubař může:

  • Použít digitální skenování - přesně zachytí tvar a barvu sousedních fazet
  • Vytvořit novou fazetu v laboratoři během 2-3 dní
  • Přilepit ji bez nutnosti opětovného zmenšování zubu

Výměna jedné fazety stojí méně než polovina ceny celé sady. A pokud máte více fazet, můžete je vyměňovat postupně - například jednu za rok - aby se nezatížila rozpočtově.

Co můžete dělat doma, abyste zabránili poškození?

Oprava je jedna věc. Prevence je jiná. Zde je, co můžete dělat každý den:

  • Nevyžívejte zuby jako nástroje - neotevírejte lahve, nekousněte tužky
  • Používejte měkký zubní kartáček - tvrdé štětiny poškrábají keramiku
  • Vyhněte se agresivním ústním kapalinám - ty mohou oslabit lepidlo
  • Nosíte ochranný zubní štít, pokud brněte nebo zubním štětcem
  • Nejedzte příliš tvrdé potraviny - oříšky, kostky, led, sušenky
  • Navštěvujte zubaře každých 6 měsíců - kontrola je klíč

Pravidelná kontrola je nejlevnější forma prevence. Zubař uvidí první známky oslabení, než se stane velký problém.

Co se nestane, když se fazeta poškodí?

Ne, není potřeba:

  • Okamžitě vyměnit všechny fazety
  • Nechat se anestezií
  • Platit za novou kompletní sadu
  • Čekat týdny na výrobu nové fazety
  • Užívat silná léčiva

Je to jen jedna fazeta. A každý problém má své řešení - bez přehnaných nákladů a bez zbytečného stresu.

Může se keramická fazeta opravit, když se odpadne?

Ano, pokud fazeta není poškozena a je celistvá. Zubař ji může pečlivě vyčistit, připravit povrch zubu a znovu přilepit pomocí moderního lepidla. Úspěšnost tohoto postupu je přes 95 %, pokud se nejedná o hluboké poškození.

Je možné opravit poškrábání na fazetě bez výměny?

Ano, malé škrábance a skoly lze opravit polirováním. Zubař použije jemné frézy a abrazivní pasty, aby odstranil nepravidelnosti a obnovil lesk. Tento postup trvá 20-30 minut a není potřeba žádná anestézie.

Proč se fazeta může zbarvit a co s tím dělat?

Keramická fazeta sama o sobě se nezbarvuje, ale může ztratit lesk nebo být poškrábána, což vytváří dojem tmavší barvy. Pokud se sousední zuby vybělily, může fazeta vypadat příliš tmavě. Řešení: polirování povrchu nebo vybělení přirozených zubů, aby se harmonizovaly s fazetou.

Je možné vyměnit jen jednu fazetu, když je poškozená?

Ano, moderní digitální technologie umožňují vytvořit jednu novou fazetu, která přesně odpovídá barvě a tvaru ostatních. Není potřeba vyměňovat celou řadu. To ušetří peníze a čas.

Co dělat, když pod fazetou ztmavl zub?

Tmavá linie u dásně znamená, že zub pod fazetou zemřel nebo má infekci. Je nutné nejprve provedení kořenové léčby, poté vyměnit fazetu. Ignorování tohoto problému může vést ke ztrátě zubu. Nečekáte - okamžitě navštivte zubaře.

Nezapomeňte: keramické fazety nejsou „nepřekonatelný“ projekt. Jsou to nástroj, který vyžaduje péči - stejně jako váš přirozený úsměv. A jakmile pochopíte, že opravy existují a jsou jednoduché, už nebudete mít strach, když se něco stane.